Dr Romulo d´Ávila - www.romulodavila.com.br Open Menu
Dr Romulo d´Ávila - www.romulodavila.com.br
Ilustrações Cirúrgicas
Câncer de Colon em Ângulo Hepático
com Metástese em Grande Epiplon
 






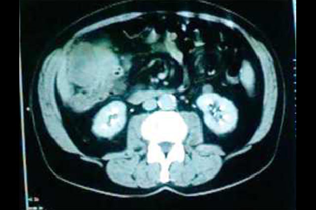
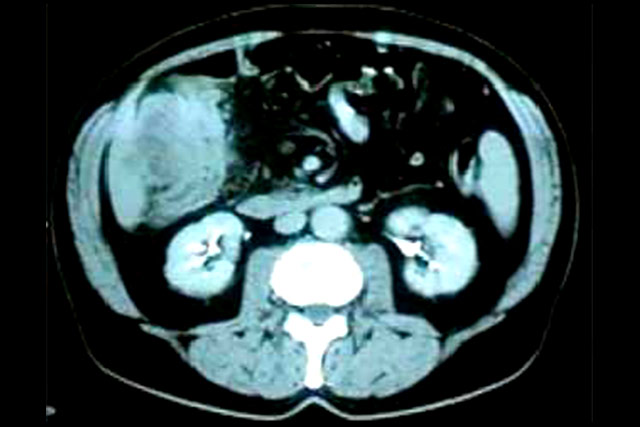
Tomografia de abdome apresentando
tumoração de colon em seu ângulo hepático.



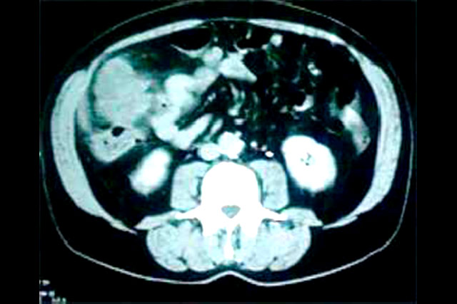
Tumoração de colon com
implantação em grande epiplon.



Peça cirúrgica onde vemos a
tumoração no ângulo hepático.



Novamente a mesma peça cirúrgica.



Peça cirúrgica aberta no
local da tumoração.



Voltar


Dr Romulo d´Ávila - www.romulodavila.com.br

© 2020 - 2021, PIXELUS Comunicação Multimídia